
Solving a problem for medical staff all over the world
BiopSafe are deeply committed to help ensure a safe working environment for medical staff involved in biopsy procedures and to spread awareness of the many health risks associated with exposure to formalin.
This is why Axlab invented BiopSafe in 2014, an innovative solution which not only eliminates any exposure to formalin during the procedure but is also fast and easy to use.
BiopSafe is part of Axlab, specialized in solutions for pathology. Today, BiopSafe is used by thousands of healthcare professionals around the world and distributed globally through a dedicated partner network.
RMS IS YOUR EXCLUSIVE REGIONAL PARTNER


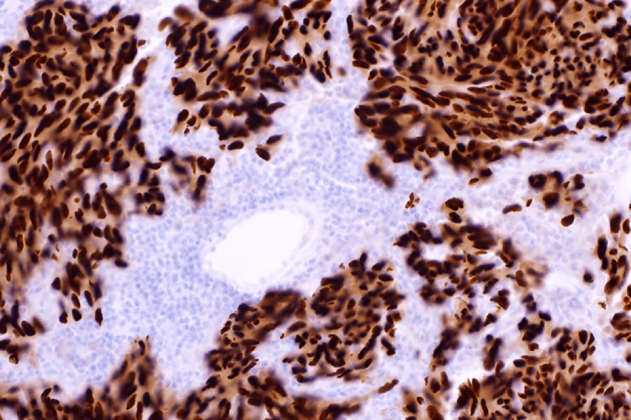
Immunohistochemistry Antibodies Most Distinctive and Unique
Cell Marque™ antibody product line includes a comprehensive portfolio of primary antibodies suitable for immunohistochemistry (IHC) on formalin-fixed paraffin embedded tissue samples. Cell Marque focuses primarily on in vitro diagnostics (IVD), to provide established and novel antibodies, detection systems, and advanced ancillary reagents for clinical testing. Specialty-specific clinical antibody categories include breast/gynecological pathology, dermatopathology, hematopathology, pediatric pathology, gastrointestinal (GI) pathology, cytopathology, pulmonary pathology, head & neck pathology, and other key areas.


The largest portfolio of anatomic pathology products
Founded in 1998, Cancer Diagnostics, Inc. (CDI) is a leading developer and manufacturer of histology, cytology, surgical pathology and immunohistochemistry diagnostic supplies. CDI developed the first commercially available 7-dye color kit for marking tissue margins, CDI’s® Tissue Marking Dyes; and today offers one of the industry’s largest portfolio of anatomic pathology products to over 3,500 laboratories worldwide with shipping locations throughout the United States. CDI’s mission is to provide extraordinary value for anatomic pathology laboratories and patients through a wide variety of reliable, cost-effective solutions delivered with exceptional service and integrity.


Immunohistochemistry Antibodies
GenomeMe Lab Inc. is a Vancouver-based biotech company specializing in mouse and rabbit IHC (immunohistochemistry) monoclonal antibodies for clinical diagnostic use. Since GenomeMe inception in 2017, they goal has been to develop each of the 260+ clinical IHC antibodies in-house.
Because they develop and manufacture all of their antibodies in-house, they are able to offer their distributors, and valuable end user customers the best value and quality. GenomeMe Lab Inc. is rising to be a dominant player in diagnostic IHC applications, an increasingly essential part of future precision medicine technologies.


Lumea is a U.S.-based company specializing in clinical digital pathology. They provide innovative tools and software to digitize, manage, analyze, and streamline pathology workflows. Their solutions cover specimen handling, imaging, LIS (Laboratory Information System), digital slide viewing, and AI-driven tools. Lumea’s technologies aim to improve diagnostic speed, accuracy, tissue preservation, and cancer detection while reducing manual errors and turnaround time.
